
For many people, being told that they have a heart artery that is completely blocked sounds like the end of the road. The phrase alone can trigger fear, confusion, and a sense of helplessness. A 100% blockage feels final, as though nothing more can be done. Yet modern cardiology tells a very different story. Today, even the most complex coronary artery disease cases are being revisited with new tools, refined techniques, and a renewed sense of possibility.
At Northern Heart Hospital Penang, advances in interventional cardiology are reshaping what it means to live with severe coronary disease. Conditions once labelled as untreatable or too risky are now approached with confidence, precision, and patient-centred care. Among these conditions is Chronic Total Occlusion (CTO), a complete blockage of a coronary artery that has been present for months or even years.

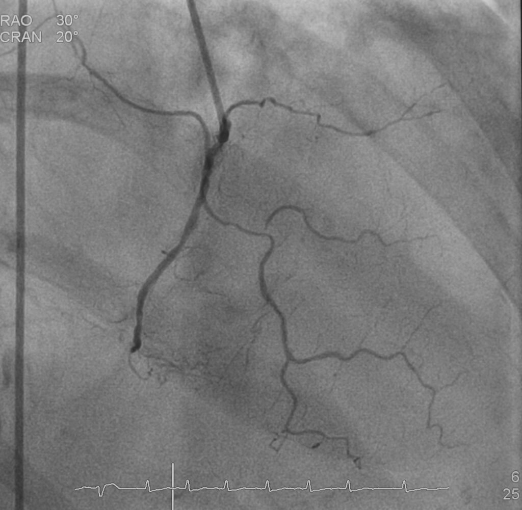
What Does a 100% Blocked Artery Really Mean
A coronary artery becomes totally occluded when plaque buildup completely blocks blood flow through the vessel. This blockage does not happen overnight. In CTO, the artery has usually been fully blocked for at least three months. Over time, the body may adapt by forming small collateral vessels that reroute blood around the blockage. While these collaterals can keep heart muscle alive, they are rarely enough to support normal heart function, especially during physical exertion or stress.
| INFO BOX: What Is a Chronic Total Occlusion?A coronary artery that is 100% blockedBlockage present for at least three monthsOften associated with long standing coronary artery diseaseSymptoms may include chest pain, breathlessness, fatigue, or reduced staminaCan significantly impact quality of life even if no recent heart attack has occurred |
Many patients with CTO live with persistent chest pain, breathlessness, fatigue, or reduced exercise tolerance. Others may have dismissed their symptoms as part of ageing, stress, or a previous heart attack. Historically, these patients were often managed with medication alone or referred for open heart surgery, which not everyone is suitable for.
Understanding CTO and Why It Is So Complex
Chronic Total Occlusion is not just another type of coronary artery disease. The plaque involved is usually hard, calcified, and resistant to standard angioplasty techniques. The blockage often lacks a clear entry point, making it difficult for guidewires to cross. The anatomy can be unpredictable, and the risk of complications is higher if procedures are not performed with advanced expertise.
Treating CTO requires more than routine angioplasty skills. It demands deep anatomical understanding, specialised equipment, advanced imaging, and the ability to adapt strategies in real time. This is where Complex High Risk Indicated Procedures (CHIP), come into play.
CHIP represents a comprehensive approach to managing patients with complex coronary disease, including CTO, left main disease, heavily calcified arteries, and patients with multiple medical conditions or reduced heart function. It is not a single procedure but a philosophy of care that combines technology, planning, and multidisciplinary expertise.
Northern Heart Hospital Penang has embraced this approach as part of its commitment to advancing heart care in Northern Malaysia.
Redefining Possibilities Through Advanced CHIP Procedures
The evolution of CHIP has transformed how cardiologists approach complex cases. Advanced guidewires, microcatheters, intravascular imaging, and refined access techniques now allow operators to navigate blockages that were once impossible to cross. Techniques such as antegrade and retrograde approaches, dissection and re-entry strategies, and meticulous imaging guidance have improved success rates while maintaining safety.
At Northern Heart Hospital Penang, these advances are supported by a strong emphasis on careful patient selection and thorough pre-procedure planning. Not every blocked artery requires intervention, and not every patient benefits from an invasive approach. The decision to proceed is always based on symptoms, heart function, overall health, and the potential for meaningful improvement.
When intervention is appropriate, the goal is not just to open an artery but to restore blood flow in a way that improves daily life, reduces symptoms, and supports long term heart health.
The Human Side of Innovation
Behind every complex procedure is a patient who wants to walk further without pain, breathe more easily, or simply regain confidence in their body. Innovation in cardiology is not only about devices and techniques. It is about translating scientific progress into tangible benefits for real people.
Northern Heart Hospital Penang places strong emphasis on this human dimension. Patients undergoing advanced coronary interventions are supported throughout their journey, from diagnosis and decision making to recovery and long-term management. Clear communication, realistic expectations, and compassionate care are integral parts of the process.
This holistic approach ensures that advanced procedures do not feel intimidating or impersonal, even when the condition itself is complex.
Expertise That Makes a Difference
| INFO BOX: What Makes CHIP Different?Designed for complex and high-risk coronary casesIntegrates advanced imaging such as intravascular ultrasound and optical coherence tomographyUses specialised tools for heavily calcified or totally occluded arteriesEmphasises careful patient selection and planningDelivered by experienced interventional cardiology teams |
Advanced CHIP and CTO interventions demand a high level of operator experience. Success depends not only on technical skill but also on judgement, adaptability, and the ability to manage complexity under changing conditions.
At Northern Heart Hospital Penang, these skills are exemplified by our team of interventional cardiologists, especially Dr. Mugilan Sundarajoo, who subspecialises in Chronic Total Occlusion (CTO) and Complex High-risk Indicated Procedures (CHIP). Through years of hands-on experience, continuous training, and exposure to advanced interventional techniques, Dr. Mugilan has developed the expertise required to tackle the most challenging coronary artery cases.
The interventional cardiology team, strengthened by Dr. Mugilan’s subspecialty focus, brings together a strong set of complementary skills. These include advanced wire manipulation, the use of specialised devices for heavily calcified and totally occluded arteries, and intravascular imaging to guide precise decision making. This collective experience allows the team to plan procedures carefully, adapt strategies in real time, and prioritise patient safety while working towards optimal outcomes.
Northern Heart Hospital Penang emphasises a collaborative, team-based approach to complex coronary interventions. With Dr. Mugilan’s leadership in CTO and CHIP, shared experience, multidisciplinary input, and structured procedural planning ensure that each patient benefits from the depth and breadth of the team’s expertise.
A Regional Leader
Cardiac care in Malaysia has advanced rapidly over the past decade, yet access to highly specialised interventional procedures has often been concentrated in major urban centres. Northern Heart Hospital Penang is changing this landscape by positioning itself as a centre of excellence for advanced interventional cardiology in the northern region.
By investing in technology, training, and comprehensive cardiac services, Northern Heart Hospital Penang is expanding access to treatments that were previously limited or unavailable closer to home.
The hospital’s vision extends beyond individual procedures. It aims to build a sustainable ecosystem of cardiac care that includes prevention, early diagnosis, advanced intervention, and long term follow up.
When Is CTO Treatment Considered
Not all patients with a total coronary blockage require intervention. Some may remain stable with medication, lifestyle changes, and careful monitoring. However, CTO treatment is often considered when symptoms persist despite optimal medical therapy or when the blockage significantly affects heart function.
Advances in imaging and functional assessment now allow cardiologists to better identify which patients are likely to benefit from opening a blocked artery. This personalised approach reduces unnecessary risk while maximising potential gains.
At Northern Heart Hospital Penang, treatment decisions are guided by evidence, experience, and open discussion with patients and their families. Understanding the why behind a recommendation is just as important as understanding the how.
| INFO BOX: Potential Benefits of CTO InterventionReduction in chest pain and breathlessnessImproved exercise capacity and daily functioningBetter blood flow to heart musclePotential improvement in heart functionEnhanced quality of life and confidence |
Safety, Technology, and Continuous Improvement
Advanced cardiac interventions require a robust support system. This includes high quality imaging, skilled nursing and technical staff, intensive care capabilities, and clear protocols for managing complications. Northern Heart Hospital Penang has built its cardiac services with these foundations in mind.
The hospital continually evaluates outcomes, updates protocols, and invests in ongoing education to ensure that care remains aligned with international standards. This commitment to quality and safety underpins every aspect of its interventional cardiology programme.
Patients can take comfort in knowing that innovation at Northern Heart Hospital Penang is grounded in responsibility, transparency, and a strong culture of clinical governance.
